内分泌疾患の一種である先端巨大症(下垂体性成長ホルモン分泌亢進症)とは、下垂体から過剰に分泌される成長ホルモンによって引き起こされる稀な疾患です。
この病気では成長ホルモンの過剰分泌により体の様々な部位が徐々に大きくなっていきます。特に手足の先端や顔の骨、軟部組織が肥大化するのが特徴的です。
先端巨大症は成人になってから発症することが多く、その進行は緩やかなため気づくのが遅れることがあります。
先端巨大症の主症状
身体外観の変化
先端巨大症(せんたんきょだいしょう)の最も特徴的な症状は身体外観の緩やかな変化です。
成長ホルモンの過剰分泌により、骨や軟部組織の成長が促進されることで、患者さんの外見が徐々に変化していきます。
特に顔貌の変化が顕著で、額の突出、鼻の肥大、下顎の前突などが見られるのが一般的です。
これらの変化は非常にゆっくりと進行するため、患者さん自身が気づくのが遅れることも少なくありません。
| 部位 | 主な変化 |
| 顔 | 額突出、鼻肥大、下顎前突 |
| 手足 | 肥大化、指輪やくつのサイズ変更 |
四肢の肥大化
手足の肥大化も先端巨大症の代表的な症状の一つです。
特に手足の先端部分が大きくなり、指輪が入りにくくなったり、靴のサイズが合わなくなったりすることがあるでしょう。
また、手足の関節が太くなり、握力が増加する傾向で、これらの変化は日常生活に支障をきたすことがあるため早期発見が重要です。
手足の変化に関連する主な症状は次の通りです。
- 指輪のサイズ変更の必要性
- 靴のサイズアップ
- 握力の増加
- 関節の肥大化
内臓の肥大と関連症状
先端巨大症では内臓の肥大化も起こります。
特に心臓、肝臓、腎臓などの臓器が大きくなることがあり、それぞれの機能に影響を与える可能性が高くなるのです。
心臓の肥大化は高血圧や不整脈のリスクを高め、肝臓や腎臓の肥大化は代謝機能に影響を与えることがあるでしょう。
また、舌の肥大化による睡眠時無呼吸症候群や、声帯の肥厚による声の変化なども見られることがあります。
| 臓器 | 関連する症状 |
| 心臓 | 高血圧、不整脈 |
| 舌 | 睡眠時無呼吸 |
| 声帯 | 声の変化 |
代謝異常と関連症状
先端巨大症患者さんでは様々な代謝異常が生じることがあります。
例えばインスリン抵抗性の増加によって糖尿病のリスクが高まったり、脂質代謝異常や高尿酸血症なども見られることがあります。
これらの代謝異常は長期的には心血管疾患のリスク増加につながる可能性があるため注意が必要です。
代謝異常に関連する主な症状は次の通りです。
- 口渇、多飲、多尿(糖尿病関連)
- 体重増加
- 疲労感の増大
- 発汗の増加
骨・関節症状
成長ホルモンの過剰分泌は骨や関節にも影響を与えます。
関節軟骨の肥厚や骨棘形成によって関節痛や関節可動域の制限が生じることがあるでしょう。特に脊椎や大関節(膝、股関節など)の症状が顕著です。
これらの症状は患者さんのQOLに大きな影響を与える可能性があります。
| 症状 | 影響を受けやすい部位 |
| 関節痛 | 脊椎、膝、股関節 |
| 可動域制限 | 肩、股関節 |
先端巨大症の症状は多岐にわたり身体の様々な部位に影響を及ぼします。
外見の変化や四肢の肥大化といった特徴的な症状に加え、内臓の肥大化や代謝異常、骨・関節症状など、全身に及ぶ影響があります。
これらの症状は徐々に進行するため早期発見が困難な場合があります。

先端巨大症の原因とその発生メカニズム
先端巨大症は成長ホルモンの過剰分泌によって引き起こされる内分泌疾患であり、その原因は多岐にわたります。
最も一般的な原因は下垂体腺腫ですが、稀に他の要因によって発症することもあります。
この疾患の発生メカニズムを理解することは早期発見や適切な管理につながる可能性があります。
下垂体腺腫:主要な原因
先端巨大症の約95%は、下垂体腺腫が原因で発症します。下垂体腺腫は下垂体前葉の細胞が異常増殖して形成される良性腫瘍です。
特に成長ホルモンを産生する細胞(ソマトトロフ)から発生した腺腫が過剰な成長ホルモンを分泌します。
これらの腫瘍は通常良性ですが、持続的な成長ホルモンの過剰分泌によってt全身に影響を及ぼすのです。
| 腫瘍タイプ | 発生頻度 |
| 下垂体腺腫 | 約95% |
| その他の原因 | 約5% |
遺伝的要因と関連疾患
一部の先端巨大症例では遺伝的要因が関与している場合があります。
特定の遺伝子変異や遺伝性症候群が下垂体腺腫の発生リスクを高める可能性があるのです。
主な遺伝性疾患と関連遺伝子は以下の通りです。
- 多発性内分泌腫瘍症1型(MEN1):MEN1遺伝子
- カーニー複合:PRKAR1A遺伝子
- 家族性単離性下垂体腺腫:AIP遺伝子
これらの遺伝性疾患を有する患者さんでは若年期から定期的な検査が重要となります。
異所性成長ホルモン産生腫瘍
稀ではありますが、下垂体以外の部位に発生した腫瘍が成長ホルモンを産生して先端巨大症を引き起こすことがあります。
これらの腫瘍は主に以下の部位に発生するのが一般的です。
- 肺
- 膵臓
- 卵巣
- 副腎
異所性腫瘍による先端巨大症は診断が難しく、特殊な検査が必要となることもあるでしょう。
| 腫瘍の発生部位 | 頻度 |
| 下垂体 | 高頻度 |
| 肺、膵臓など | 低頻度 |
成長ホルモン放出ホルモン産生腫瘍
成長ホルモン放出ホルモン(GHRH)を過剰に産生する腫瘍も先端巨大症の原因となり得ます。
この種の腫瘍は主に以下の部位に発生します。
- 膵臓(神経内分泌腫瘍)
- 肺(カルチノイド腫瘍)
- 視床下部
GHRHの過剰分泌が下垂体を持続的に刺激し、結果として成長ホルモンの過剰産生につながるのです。
環境要因と生活習慣の影響
環境要因や生活習慣が直接的に先端巨大症を引き起こすことはありませんが、腫瘍の発生リスクに影響を与える可能性があります。
ストレスや不規則な生活リズムなどが、内分泌系のバランスを崩す一因となる可能性が指摘されています。
また、特定の化学物質への長期曝露が内分泌攪乱作用を通じて腫瘍発生リスクを高める可能性も研究されているのです。
| 環境要因 | 潜在的影響 |
| ストレス | ホルモンバランスの乱れ |
| 化学物質曝露 | 内分泌攪乱作用 |
先端巨大症の原因は多様であり、その大部分が下垂体腺腫によるものですが、遺伝的要因、異所性腫瘍、GHRH産生腫瘍など、様々な要因が関与する可能性があります。
また、環境要因や生活習慣も間接的に影響を与える可能性も考えられます。
特に家族歴がある場合や特異な症状を呈する場合には稀な原因も考慮に入れた詳細な評価が大切です。

診察と診断
先端巨大症の診断は詳細な問診、身体診察、生化学的検査、画像診断など、多角的なアプローチを通じて行われます。
この疾患の緩徐な進行性を考慮すると、早期発見と正確な診断が患者さんのQOL維持向上に極めて重要です。
問診と身体診察
診断プロセスは詳細な問診から始まり、患者さんの自覚症状、家族歴、既往歴などを丁寧に聴取します。
身体診察では特徴的な外見の変化や手足の肥大化などを注意深く観察します。また、血圧測定や心音聴診なども行って全身状態を評価します。
主な問診・診察項目は以下の通りです。
- 外見の変化の自覚
- 指輪やくつのサイズ変更の有無
- 関節痛や頭痛の有無
- 家族歴(特に内分泌疾患)
生化学的検査
血液検査は先端巨大症の診断において中心的な役割を果たします。
成長ホルモン(GH)とその作用を反映するIGF-1(インスリン様成長因子1)の測定が最も重要です。
通常GHは変動が大きいため、IGF-1値が診断の指標として用いられることが多いです。また、経口ブドウ糖負荷試験(OGTT)を行ってGHの抑制能を評価することもあります。
| 検査項目 | 正常値(参考値) |
| IGF-1 | 年齢・性別により異なる |
| GH | <1 ng/mL(安静時) |
画像診断
下垂体腫瘍の存在を確認するためにMRI(磁気共鳴画像法)を行い、腫瘍の大きさ、位置、周囲組織への影響などを詳細に評価します。
造影MRIを用いることで腫瘍の性状や血流動態もより明確に観察可能です。
稀にCT(コンピュータ断層撮影)が補助的に用いられることもあるでしょう。
| 画像検査 | 主な評価項目 |
| MRI | 腫瘍サイズ、位置 |
| 造影MRI | 腫瘍の血流動態 |
特殊検査と鑑別診断
一部の症例ではさらに詳細な評価や鑑別診断のために特殊な検査が必要となることがあります。
例えば異所性成長ホルモン産生腫瘍が疑われる場合には全身のPET-CT検査が行われることがあるでしょう。
また、成長ホルモン放出ホルモン(GHRH)の測定や、他の内分泌機能検査も考慮されます。
鑑別を要する主な疾患には以下のようなものが挙げられます。
- 末端肥大症
- 甲状腺機能亢進症
- 慢性腎不全
多職種連携による総合評価
先端巨大症の診断には内分泌専門医を中心とした多職種連携アプローチが大切です。
眼科医による視野検査、整形外科医による骨・関節評価、循環器専門医による心機能評価など様々な専門家の意見を総合することで、より正確な診断と適切な管理計画の立案が可能となります。
| 専門科 | 主な評価内容 |
| 眼科 | 視野、視力 |
| 整形外科 | 骨・関節状態 |
| 循環器科 | 心機能 |
このように先端巨大症の診断は単一の検査結果だけでなく、様々な検査や評価を総合的に解釈することで行われます。

先端巨大症の画像所見
先端巨大症の画像診断では下垂体腫瘍の特定から全身の骨軟部組織の変化まで広範囲にわたる評価が行われます。
MRIやCTなどの画像検査技術を駆使することで疾患の進行度や合併症の有無を詳細に把握することが可能です。
これらの画像所見は診断の確定や治療方針の決定において極めて重要な役割を果たします。
下垂体MRI所見
下垂体MRIは先端巨大症の診断において中心的な役割を担います。
T1強調画像では腫瘍は正常下垂体組織と比較して等信号または軽度低信号を示すことが多いです。T2強調画像では腫瘍は多くの場合高信号を呈します。
造影MRIを用いると腫瘍と正常下垂体組織のコントラストがより明確になり、腫瘍の範囲や浸潤の程度を詳細に評価できます。
| MRIシーケンス | 腫瘍の一般的な信号強度 |
| T1強調画像 | 等信号〜軽度低信号 |
| T2強調画像 | 高信号 |

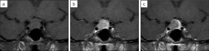
所見:成長ホルモン(GH)産生下垂体腺腫のある44歳の女性(a) 非造影T1強調画像では、腫瘍は脳と等信号です。(b) 早期相では弱く造影され、(c) 遅延相では造影剤のwashoutが認められます。腫瘍の洗い出し率(WR)は比較的高く(44.5%)、早期強化比(EER)は比較的低く(86.6%)、遅延強化比(DER)は比較的低い(48%)で、これはGH産生腺腫に共通するパターンです。
下垂体腫瘍の特徴的所見
先端巨大症を引き起こす下垂体腫瘍は多くの場合マクロアデノーマ(直径10mm以上)です。
腫瘍の形状は様々ですが、しばしば上方に伸展してトルコ鞍上部を占拠する像が見られます。側方への伸展により海綿静脈洞浸潤を示すこともあります。
また、下方への伸展で蝶形骨洞への進展が観察されることもあります。
下垂体腫瘍の主な進展方向な次の通りです。
- 上方(鞍上部)
- 側方(海綿静脈洞)
- 下方(蝶形骨洞)
頭蓋骨の変化
先端巨大症患者の頭蓋骨MRIやCTでは前頭洞や副鼻腔の拡大、下顎の肥大と前突、頭蓋冠の肥厚など特徴的な変化が観察されることがあります。
また、トルコ鞍の拡大や二重底(double floor)の所見も特徴的です。
これらの変化は長期にわたる成長ホルモンの過剰分泌による骨の肥大化を反映しているのです。
| 部位 | 特徴的な変化 |
| 副鼻腔 | 拡大 |
| 下顎 | 肥大、前突 |
| トルコ鞍 | 拡大、二重底 |

所見:下垂体窩にある2cmの造影される腫瘤。 下垂体窩の拡大、頭蓋骨の肥厚、 ネアンデルタール人様の眼窩上隆起(前頭部突出)を認める。頭蓋骨の肥厚および前頭部突出は成長ホルモンの分泌(すなわち先端巨大症)を示唆しています。
全身の骨軟部組織の変化
先端巨大症では全身の骨や軟部組織にも特徴的な変化が生じます。
手足のX線検査では軟部組織の肥厚や骨皮質の肥厚が観察されます。特に指趾末節骨の肥大(バチ状指)は特徴的な所見です。
また、脊椎のX線やCTでは椎体の肥大や骨棘形成が見られることもあるでしょう。
全身の主な画像所見は次の通りです。
- 手足の軟部組織肥厚
- 指趾末節骨の肥大
- 脊椎の変形性変化

所見:先端巨大症の手。正常な人の手(左)と比較して、先端巨大症患者の手(右)は大きくなり、指が広く、厚く、短くなっており、軟部組織も厚くなっています。
内臓の変化
先端巨大症に伴う内臓の肥大も画像検査で評価されます。
心エコーやCTでは左室肥大や心拡大が観察されることがあります。
腹部CTやMRIでは肝臓や脾臓の腫大、腎臓の肥大などが見られることがあります。また、甲状腺の腫大や結節性病変も比較的高頻度に認められます。
| 臓器 | 画像所見 |
| 心臓 | 左室肥大、心拡大 |
| 肝臓 | 腫大 |
| 甲状腺 | 腫大、結節 |
先端巨大症の画像所見は下垂体腫瘍の直接的な評価から全身の骨軟部組織の変化まで、多岐にわたります。
MRI、CT、X線などの様々な画像モダリティを組み合わせることで疾患の進行度や合併症の有無を詳細に把握することが可能です。
これらの画像所見は診断の確定だけでなく、治療方針の決定や経過観察においても重要な役割を果たします。

先端巨大症の治療法と回復への道のり
先端巨大症の治療は外科的治療、薬物療法、放射線療法など複数のアプローチを組み合わせて行われます。
治療の主な目標は成長ホルモンとIGF-1値の正常化、腫瘍サイズの縮小、そして症状の改善です。
治療法の選択は腫瘍の大きさや位置、患者さんの全身状態などを考慮して個別に決定されるでしょう。
完全な「治癒」までの期間は個人差が大きく、長期的な管理が必要となることがあります。
外科的治療
経蝶形骨洞手術は多くの先端巨大症患者さんに対する第一選択の治療法です。この手術では鼻腔を通じて下垂体腫瘍にアプローチし、可能な限り腫瘍を摘出します。
手術の成功率は腫瘍の大きさや浸潤度によって異なりますが、微小腺腫では80-90%程度の成功率が報告されています。
手術後数日から数週間で成長ホルモン値が低下し始めることがあるでしょう。
| 腫瘍サイズ | 手術成功率 |
| 微小腺腫 | 80-90% |
| マクロ腺腫 | 40-60% |
薬物療法
薬物療法は手術単独で効果が不十分な場合や、手術が困難な場合に選択されます。
以下は先端巨大症に用いられる主な薬剤です。
- ソマトスタチンアナログ(オクトレオチド、ランレオチドなど)
- 成長ホルモン受容体拮抗薬(ペグビソマント)
- ドパミンアゴニスト(カベルゴリン)
これらの薬剤は成長ホルモンの分泌抑制や作用阻害を通じて効果を発揮します。
薬物療法の効果は個人差が大きく、数週間から数ヶ月かけて徐々に現れることが多いです。
放射線療法
放射線療法は手術や薬物療法で十分な効果が得られない場合や、腫瘍の完全摘出が困難な場合に考慮されます。
具体的に主な方法は従来の分割照射と定位放射線治療(ガンマナイフなど)です。
放射線療法の効果は緩徐に現れ、治療後1-2年程度かけて徐々に成長ホルモン値が低下していきます。完全な効果発現まで5-10年以上かかることもあります。
| 放射線療法の種類 | 効果発現期間 |
| 分割照射 | 1-2年〜 |
| 定位放射線治療 | 6ヶ月〜2年 |
治癒判定と長期的な管理
先端巨大症の「治癒」は以下の基準を満たすことで判定されます。
- 成長ホルモン値の正常化(<1 ng/mL)
- IGF-1値の年齢・性別基準値内への低下
- 腫瘍サイズの著明な縮小または消失
これらの基準を満たすまでの期間は、治療法や個人差によって大きく異なります。
手術後数週間で基準を満たす患者さんもいれば、薬物療法や放射線療法を組み合わせて数年以上かかる場合もあります。
治療効果の主な指標は次の通りです。
- 成長ホルモン値
- IGF-1値
- 腫瘍サイズの変化
- 臨床症状の改善

治療の副作用とリスク
先端巨大症の治療は患者さんの生活の質を大きく改善する一方で様々な副作用やリスクを伴う可能性も考慮しなければなりません。。
これらの副作用やリスクは治療法によって異なり、個人差も大きいため、事前に十分な説明を受けて理解しておくことが重要です。
手術療法に伴うリスク
経蝶形骨洞手術は比較的低侵襲な手術ですが、いくつかの潜在的リスクがあります。
まず手術後の合併症として、髄液漏、感染、出血などが報告されています。また、周囲の重要な構造物(視神経、内頸動脈など)への影響も稀にみられることがあります。
手術による下垂体機能低下症は、最も注意すべき長期的な合併症の一つです。
| 合併症 | 発生頻度 |
| 髄液漏 | 1-5% |
| 感染 | 1-2% |
| 下垂体機能低下症 | 5-20% |
薬物療法の副作用
ソマトスタチンアナログ(オクトレオチド、ランレオチドなど)の主な副作用には以下のようなものがあります。
- 消化器症状(悪心、下痢、腹痛など)
- 胆石形成
- 注射部位の疼痛や硬結
成長ホルモン受容体拮抗薬(ペグビソマント)では肝機能障害や注射部位反応に注意が必要です。
ドパミンアゴニスト(カベルゴリン)では吐き気やめまい、ときに精神症状が現れることがあるでしょう。
| 薬剤 | 主な副作用 |
| ソマトスタチンアナログ | 消化器症状、胆石 |
| ペグビソマント | 肝機能障害 |
| カベルゴリン | 吐き気、めまい |
放射線療法のリスクと長期的影響
放射線療法は腫瘍制御に効果的ですが、いくつかの長期的リスクを伴う可能性があります。
最も懸念されるのは正常な下垂体組織への影響による内分泌機能の低下です。
放射線照射後数年にわたって徐々に下垂体機能が低下することがあり、定期的な内分泌機能評価が不可欠です。
また、稀ではありますが、二次性脳腫瘍のリスクも報告されており長期的なフォローアップが大切です。
放射線療法後の主な長期的リスクは次の通りです。
- 下垂体機能低下の進行
- 視神経への影響
- 二次性脳腫瘍(極めて稀)
内分泌機能への影響
いずれの治療法においても内分泌機能への影響は重要な考慮事項です。
手術や放射線療法による下垂体組織への直接的な影響、また薬物療法によるホルモンバランスの変化などが、内分泌機能に影響を与える可能性があります。
特に副腎皮質機能低下症は生命に関わる可能性があるため、注意深い管理が必要です。
| 影響を受ける可能性のあるホルモン | 関連する症状 |
| 副腎皮質刺激ホルモン | 倦怠感、低血圧 |
| 甲状腺刺激ホルモン | 代謝低下、体重増加 |
| 性腺刺激ホルモン | 性機能低下 |
生活の質への影響
治療に伴う副作用は患者さんの日常生活に様々な影響を与える可能性があります。
例えば薬物療法による消化器症状は食事の楽しみを減少させたり、日中の活動に支障をきたしたりすることも考えられるでしょう。
また、内分泌機能の変化に伴う体調の変動や長期的な通院の必要性なども、生活の質に影響を与える要因となることがあります。
これらの影響は個人差が大きく、患者さんごとに適切な対応策を検討することが重要です。
先端巨大症の治療に伴う副作用やリスクは多岐にわたりますが、多くの場合適切な管理と対応が可能です。

先端巨大症の再発リスクと予防戦略
先端巨大症は初回治療後も再発の可能性があり、患者さんの長期的な経過観察が極めて重要です。
再発率は初回治療の方法や腫瘍の特性によって異なりますが、一般的に5年以内の再発率は10-20%程度とされています。
長期的には10年以上経過しても再発のリスクが完全になくなるわけではないため、継続的な注意が大切です。
予防策としては定期的な検査と生活習慣の改善が中心となります。
再発リスクの評価
再発リスクは初回治療の方法や効果、腫瘍の特性などによって個人差が大きいです。
手術で腫瘍が完全に摘出された場合には再発リスクは比較的低くなりますが、腫瘍の残存や浸潤が見られる場合には再発リスクが高くなる傾向です。
また、若年発症例や遺伝性症候群に関連する先端巨大症では再発リスクがより高くなることがあります。
| 初回治療 | 5年再発率 |
| 完全摘出 | 5-10% |
| 不完全摘出 | 15-25% |
定期的なフォローアップの重要性
再発を早期に発見して適切に対応するためには、定期的な経過観察が不可欠です。
フォローアップの頻度や内容は初回治療の方法や効果、個々の患者さんのリスク因子によって調整されるでしょう。
以下のような検査が定期的に行われるのが一般的です。
- 血中成長ホルモン値とIGF-1値の測定
- MRIによる画像検査
- 全身状態の評価
| 検査項目 | 推奨頻度 |
| ホルモン検査 | 3-6ヶ月ごと |
| MRI | 年1回程度 |
生活習慣の改善による予防
先端巨大症の再発を完全に予防する方法は確立されていませんが、健康的な生活習慣を維持することが大切です。
以下のような点に注意を払うことが推奨されます。
- バランスの取れた食事
- 適度な運動
- 十分な睡眠
- ストレス管理
これらの生活習慣は全身の健康維持に役立つだけでなく、内分泌系のバランス保持にも寄与する可能性があります。
健康的な生活習慣のために心がけることは以下の通りです。
- 野菜や果物を多く含む食事
- 週3-4回の有酸素運動
- 1日7-8時間の睡眠
- リラックス法の実践(瞑想、ヨガなど)
患者教育と自己管理の重要性
先端巨大症患者さんの長期的な健康管理において患者教育と自己管理は極めて重要です。
自身の状態や再発の兆候について理解を深めることで早期発見につながる可能性が高まります。
定期的な受診や検査の重要性を理解し、確実に実行することが大切です。
また、日々の体調変化に注意を払い、気になる症状があれば速やかに医療機関に相談することも重要です。
| 自己管理項目 | 内容 |
| 症状の観察 | 新たな症状の出現に注意 |
| 定期検査 | 予定された検査の確実な実施 |
ストレス管理と心理的サポート
先端巨大症の再発予防においてストレス管理と心理的サポートも重要な要素です。
慢性的なストレスは内分泌系に影響を与える可能性があるため、効果的なストレス管理法を身につけることが推奨されます。
また、再発への不安や長期的な管理に伴う心理的負担に対処するため、心理的サポートを受けることも有効です。
医療チームや患者会などを通じて同じ経験を持つ人々とつながることで心理的なサポートを得られることもあるでしょう。
先端巨大症の再発リスクは完全にゼロにすることはできませんが、適切な経過観察と健康管理によって最小限に抑えることが可能です。

治療費用
先端巨大症の治療費用は、診断から手術、術後のフォローアップまで幅広く、個々の状況により大きく異なります。例えば薬物療法では月額10万円以上の薬剤費がかかる場合もあります。
これらの費用は保険適用されますが、自己負担額は無視できません。
初診・再診料
初診料は2,910円、再診料は750円です。専門医への紹介状がない場合、別途選定療養費がかかることがあります。
検査費用
MRI検査は1回あたり19,000円~30,200円、内分泌検査は5,000円から1万円程度です。定期的な検査が必要なため累積コストに注意が必要です。
| 検査項目 | 概算費用 |
| MRI | 19,000円~30,200円 |
| 内分泌検査 | HCG: 550円、プロラクチン・甲状腺刺激ホルモン980円、その他下垂体などのホルモンなど3項目以上5項目以下4,100円、6項目又は7項目6,230円、8項目以上9,000円 |
手術・入院費用
手術費用は50万円から100万円以上と幅広く、腫瘍の大きさや手術方法により異なります。入院費用も含めると更に高額になるでしょう。
詳しく説明すると、日本の入院費はDPC(診断群分類包括評価)システムを使用して計算されます。このシステムは、患者の病名や治療内容に基づいて入院費を決定する方法です。以前の「出来高」方式とは異なり、DPCシステムでは多くの診療行為が1日あたりの定額に含まれます。
DPCシステムの主な特徴
- 約1,400の診断群に分類される
- 1日あたりの定額制
- 一部の治療は従来通りの出来高計算が適用される
DPCシステムと出来高計算の比較表
| DPC(1日あたりの定額に含まれる項目) | 出来高計算項目 |
|---|---|
| 投薬 | 手術 |
| 注射 | リハビリ |
| 検査 | 特定の処置 |
| 画像診断 | |
| 入院基本料 |
DPCシステムの計算方法
計算式は以下の通りです:
「1日あたりの金額」×「入院日数」×「医療機関別係数」+「出来高計算分」
*医療機関別係数は各医療機関によって異なります。
例えば、患者が14日間入院した場合の計算は以下のようになります。
DPC名: 下垂体機能亢進症 手術あり 手術処置等1なし 手術処置等2なし
日数: 14
医療機関別係数: 0.0948 (例:神戸大学医学部附属病院)
入院費: ¥398,860 +出来高計算分
保険が適用されると、自己負担額は1割から3割になります。また、高額医療制度の対象となる場合、実際の自己負担額はさらに低くなります。
なお、上記の価格は2024年7月時点のものであり、最新の価格については随時ご確認ください。
以上




